Aréa do paciente
Acessar Área do paciente
Aréa do paciente
Acessar Área do paciente
Clique para visualizar o menu
Entre em contato conosco através do telefone 19 3434.3277 ou através do email ortodontiaantunes@uol.com.br
Atendemos na Rua Treze de Maio, 768 - Sala 51 e 52 Centro - CEP 13400-300 - Piracicaba
Endereço:
Rua Treze de Maio, 768 - Sala 51 e 52
Centro - CEP 13400-300 - Piracicaba - SP
Entre em contato conosco através do telefone 19 3434.3277 ou através do email ortodontiaantunes@uol.com.br
Horarios de funcionamento:
Segunda à  Sexta:
07h30 dás 18h00
Clique para visualizar o menu
Galeria de fotos

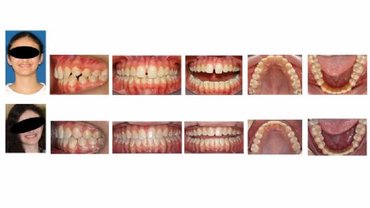
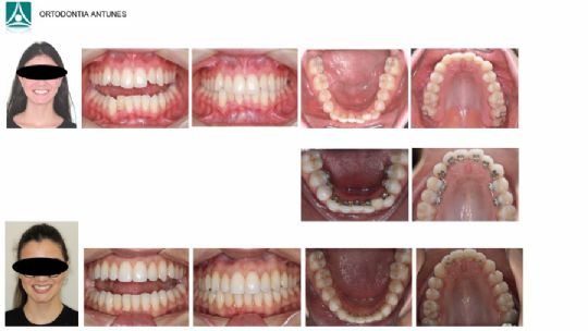
CASOS CLÍNICOS

É fundamental nas avaliações dos tratamentos ortodônticos, além dos posicionamentos dos dentes, o estudo da face (queixo, lábios e nariz), tanto em vista frontal como em perfil, avaliando seus contornos e proporções. Entretanto, por razões éticas e legais, nas imagens prévias e posteriores ao tratamento de alguns casos da Ortodontia Antunes que mostramos a seguir, estamos focando exclusivamente a região das arcadas dentárias e faces com as devidas tarjas nos olhos. Desta forma pretendemos além das normas do sigilo profissional, um profundo respeito pela pessoa humana que existe em cada paciente. Todos estes casos foram tratados pela Ortodontia Antunes, alguns deles com cirurgias, próteses ou implantes.
Conheça as instalações da Ortodontia Antunes
Antes e depois caso Invisalign
Conheça as instalações da Ortodontia Antunes
Caso antes e depois Invisalign
Conheça as instalações da Ortodontia Antunes
Caso de invisalign jovens antes e depois
Conheça as instalações da Ortodontia Antunes
Caso de Invisalign adolescente antes e depois
Conheça as instalações da Ortodontia Antunes
Caso de invosalign adulto antes e depois
Conheça as instalações da Ortodontia Antunes
Casos de Invisalign antes e depois
Conheça as instalações da Ortodontia Antunes
Caso Ortodôntico antes e depois
Conheça as instalações da Ortodontia Antunes
Caso de Invisalign antes e depois
Conheça as instalações da Ortodontia Antunes
Caso de Invisalign antes e depois
Conheça as instalações da Ortodontia Antunes
Caso classe II com Over Jet aumentado.
Conheça as instalações da Ortodontia Antunes
Tratamento Ortopédico - Paciente em Crescimento
Conheça as instalações da Ortodontia Antunes
Fase inicial de alinhamento e nivelamento - paciente adulto.
Conheça as instalações da Ortodontia Antunes
Caso de tratamento 04 meses depois da montagem do fixo inferior
Conheça as instalações da Ortodontia Antunes
Tratamento 04 meses - Adulto
Conheça as instalações da Ortodontia Antunes
Caso Lingual
Conheça as instalações da Ortodontia Antunes
Tratamento Ortopédico em criança
Conheça as instalações da Ortodontia Antunes
Conheça as instalações da Ortodontia Antunes
Conheça as instalações da Ortodontia Antunes
Conheça as instalações da Ortodontia Antunes
Conheça as instalações da Ortodontia Antunes
Conheça as instalações da Ortodontia Antunes
Conheça as instalações da Ortodontia Antunes
Conheça as instalações da Ortodontia Antunes
Conheça as instalações da Ortodontia Antunes
Conheça as instalações da Ortodontia Antunes
Caso de bruxismo Infaltil
Conheça as instalações da Ortodontia Antunes
Caso Expansão arcadas
Conheça as instalações da Ortodontia Antunes
Caso Cirúrgico
Conheça as instalações da Ortodontia Antunes
Correção classe III
Conheça as instalações da Ortodontia Antunes
Caso Adulto
Conheça as instalações da Ortodontia Antunes
Caso Sobremordida
Conheça as instalações da Ortodontia Antunes
Caso Lingual
Conheça as instalações da Ortodontia Antunes
Caso 1ª a 2ª Fase tratamento
Conheça as instalações da Ortodontia Antunes
Caso Cirúrgico
Conheça as instalações da Ortodontia Antunes
Caso 1ª Fase
Conheça as instalações da Ortodontia Antunes
Caso adulto
Conheça as instalações da Ortodontia Antunes
Caso 1ª Fase
Conheça as instalações da Ortodontia Antunes
Caso Lingual
Conheça as instalações da Ortodontia Antunes
Caso adulto - remontes
Conheça nossas

Instalações

Veja alguns de nossos

Casos Clínicos

Newsletter - Receba nossas novidades por e-mail
Contato
Entre em contato conosco através do telefone (19) 3434.3277
(19) 3434.3277
Entre em contato conosco através do celular (19) 99730.1622
(19) 99730.1622
Entre em contato conosco através do e-mail ortodontiaantunes@uol.com.br
Endereço
Estamos localizados na Rua Treze de Maio, 768 - Sala 51 e 52, Centro - Piracicaba/SP
Rua Treze de Maio, 768 - Sala 51 e 52
Centro - Piracicaba/SP
CEP 13400-300
Ortodontia Antunes© 2018. Todos os direitos reservados.
sites • lojas virtuais • sistemas